Casos de Éxito.
Destacados
En Garcías & Pereira, cada sonrisa es una obra maestra en proceso. Nuestros casos de éxito son el testimonio de nuestra dedicación a la excelencia en el cuidado dental. Desde innovadores tratamientos de ortodoncia hasta soluciones avanzadas en implantes, cada paciente recibe un enfoque único que asegura resultados sorprendentes. Te invitamos a explorar cómo hemos transformado vidas a través de una odontología de primer nivel. Tu sonrisa podría ser la próxima historia inspiradora que compartamos.
Agenda tu consulta
Carillas de resina compuesta
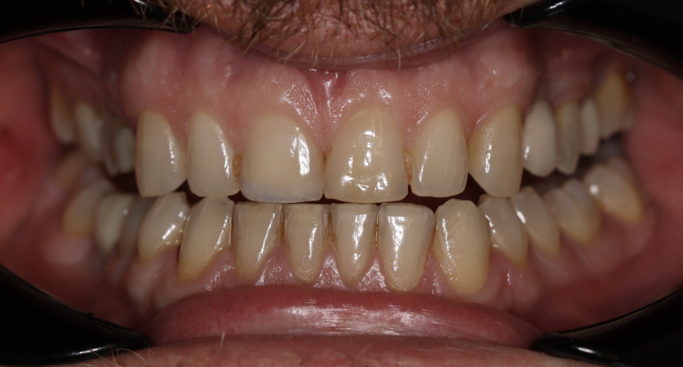
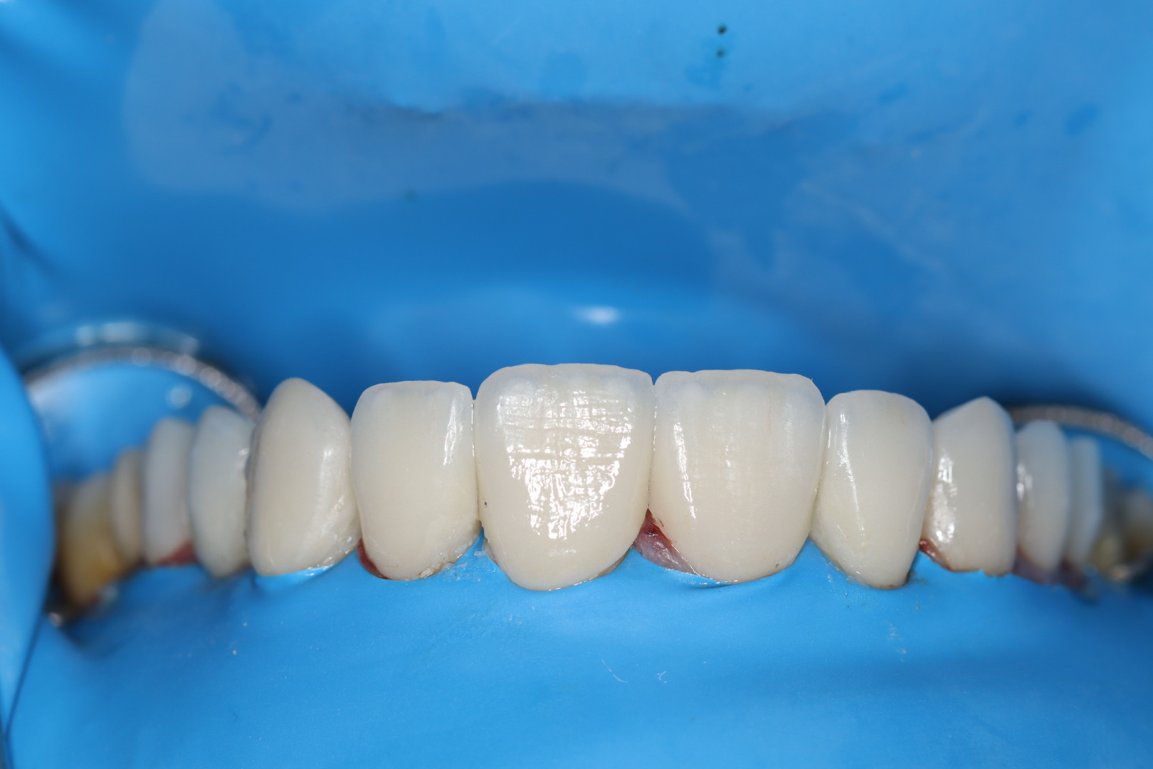
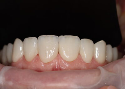
Caso 01
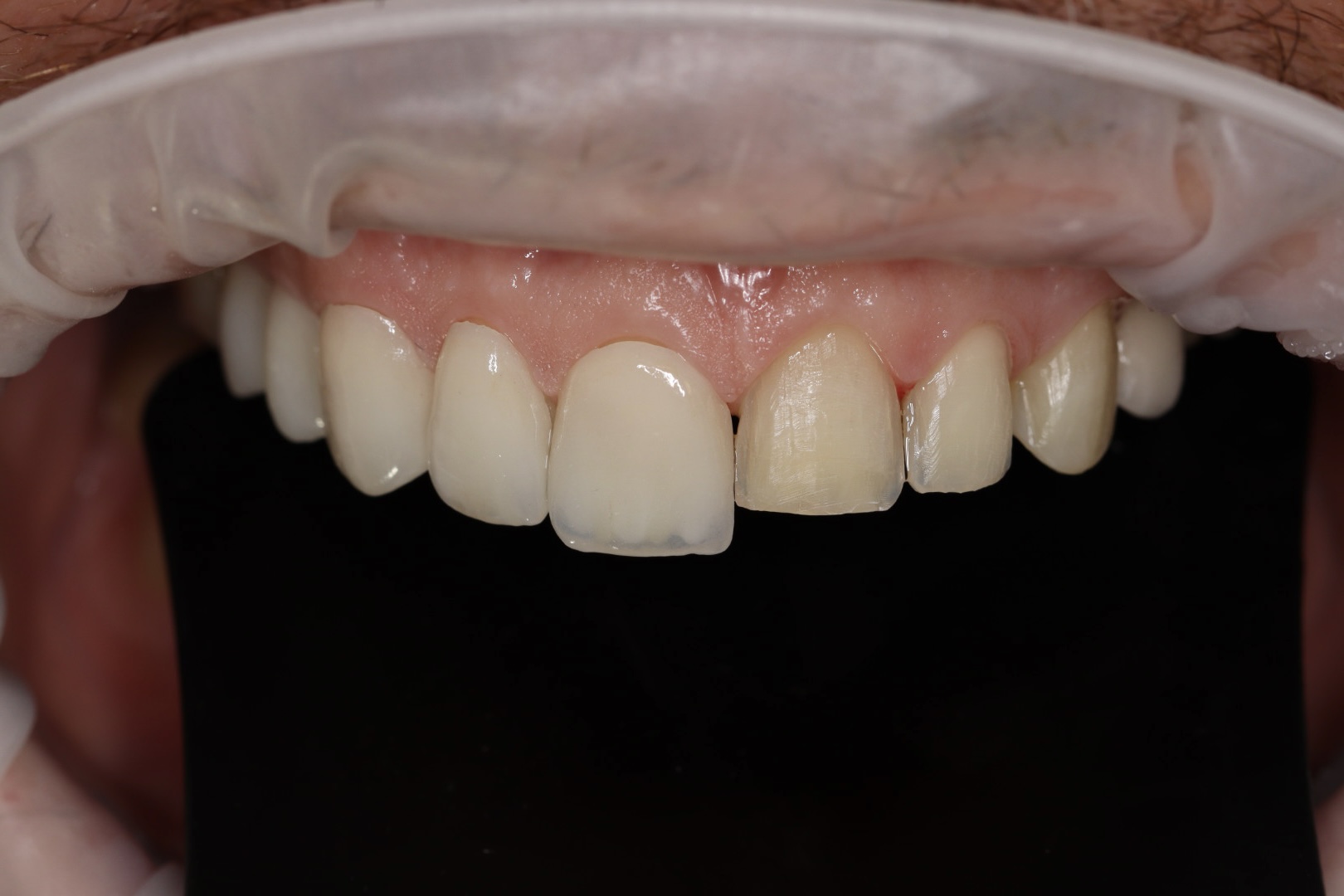
La paciente llegó a nuestra clínica preocupada por el aspecto de su sonrisa. Se sentía insatisfecha debido al desgaste y la forma irregular de sus dientes, lo que afectaba tanto su confianza como su funcionalidad al masticar. Su principal objetivo era lograr una sonrisa natural, estética y saludable, sin procedimientos invasivos que alteraran sus dientes naturales.
Plan de tratamiento
Después de una evaluación inicial, realizamos un estudio digital personalizado para diseñar la forma y función de los futuros dientes. Este paso nos permitió planificar cada detalle con precisión y mostrarle a la paciente el resultado esperado antes de iniciar el tratamiento.
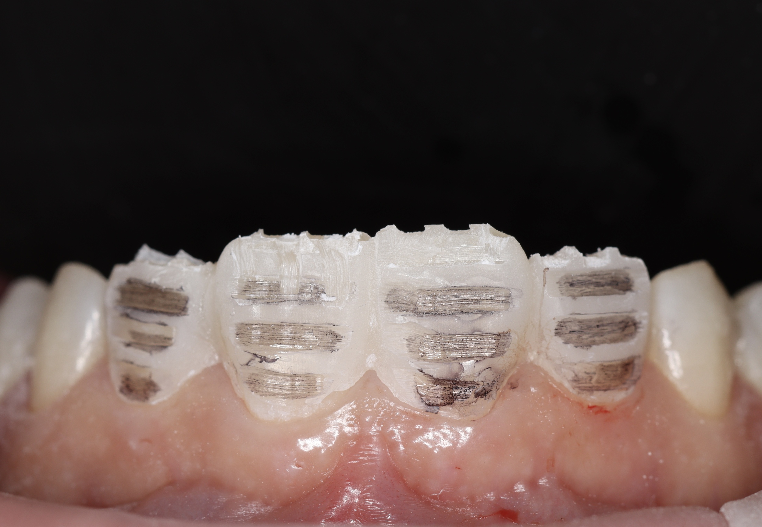
Optamos por carillas de resina compuesta debido a su versatilidad, estética y el beneficio clave de no desgastar la estructura natural del diente. Para mayor comodidad, dividimos el tratamiento en tres sesiones:
Sesión 1: Finalizamos las restauraciones del maxilar superior utilizando una técnica precisa y detallista.
Sesiones 2 y 3: Aplicamos una innovadora técnica llamada Estampación para restaurar el maxilar inferior. Este enfoque nos permitió ajustar la altura y forma de los dientes de forma predecible, asegurando un resultado armonioso y funcional.
El resultado
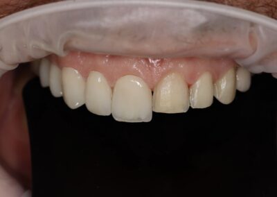
En tan solo dos días de trabajo clínico, logramos una sonrisa completamente renovada, elegante y natural. La paciente quedó encantada con la transformación, destacando cómo este cambio impactó no solo su apariencia, sino también su confianza y bienestar.
Este caso es un claro ejemplo de cómo en Garcías & Pereira combinamos técnicas de vanguardia con un enfoque personalizado para ofrecer resultados excepcionales sin comprometer la salud dental natural.
Antes:
Después:
Carillas de cerámica
Caso 02
El paciente estaba disconforme con su sonrisa. Era consciente del grado de su desgaste y que sus dientes poseían diferentes coloraciones. A su vez presentaba diferentes materiales con sus distintas opacidades que alteraban la armonía de su sonrisa.
Uno de los requisitos que exigía el caso por las expectativas del paciente era el de mantener una naturalidad que hiciera imperceptible el trabajo, lógicamente en una versión renovada y fresca de su sonrisa pero sin alterar la personalidad de la misma.
Después de la entrevista ya pasamos a la recogida de material audiovisual y de un escaneamiento de su boca para obtener un modelo 3D de la situación inicial y sobre éste empezar a realizar el DISEÑO DE SONRISA.
En una segunda cita se colocó el diseño sobre sus dientes intactos para la aprobación del paciente. Así pudo confirmar que el diseño de los futuros dientes va a encajar en tamaño, color y forma con su personalidad y la cara del paciente. Lo interesante de esta técnica llamada de MOCK-UP es que el paciente puede observar ¨EL FINAL¨ antes de empezar el trabajo, verificando todos los detalles y haciendo el trabajo totalmente predecible.
La siguiente cita fue la de verificar que existe el espacio suficiente y los grosores mínimos para instalar las porcelanas. Para ello nos ayudamos de unas guías realizadas en base al ESTUDIO INICIAL DEL DISEÑO DE SONRISA que nos marcan dónde realizar mínimos desgastes o redondeamientos de ángulos para facilitar la inserción de las cerámicas. En esta cita el paciente se va a su casa con unas restauraciones provisionales que ya tienen el mismo formato que tendrán las cerámicas definitivas. El tiempo de ir con estos provisorios es de unos 10 días en los que comprobamos que la función se vaya adaptando a la nueva mordida.
Pasado este tiempo citamos al paciente en la última cita para instalar las porcelanas, realizadas artesanalmente con una base digital que se culmina con la estratificación artística de cerámica en la última capa. Un trabajo individualizado y consensuado en cada paso. El trabajo está acabado y el paciente puede utilizar dichas restauraciones como si fueran sus propios dientes. Dicho trabajo requerirá de mantenimientos semestrales como es habitual en el consultorio odontológico.
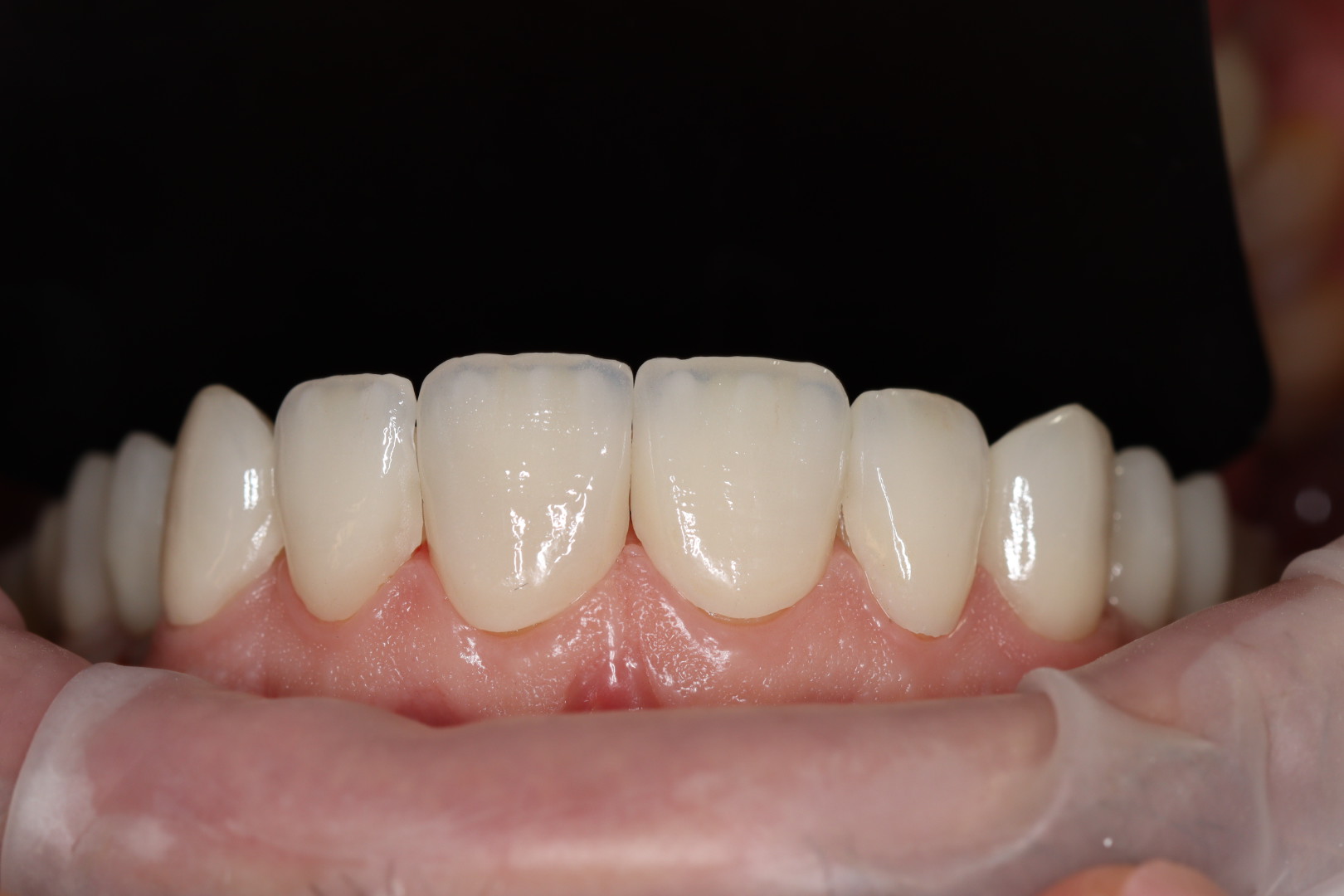
Lo más importante es que el paciente relata una mejor función masticatoria y sobretodo un incremento de su autoestima, luciendo una sonrisa más luminosa, fuerte y joven.
Antes:
Después:
Caso 03
Este caso reúne todos los ingredientes de lo que para nosotros es una odontología sofisticada, de que menos es más. Realizamos un blanqueamiento en clínica de alta concentración en una sola cita, seguido de 4 restauraciones cerámicas para modificar las inclinaciones de los incisivos superiores, dotándolos de una forma más íntegra y darles una proporción más armónica. Culminamos el caso añadiendo resina compuesta muy sutilmente en los caninos para recuperar cierta feminidad y delicadeza en la sonrisa.
Ver en Maps
Contáctanos.
Te esperamos.
Listo para dar el siguiente paso en tu salud dental?
¡Contáctanos hoy mismo!
T. (+34) 971 51 91 82
Envíanos un mensaje